Endlich mit dem Rauchen aufhören – Das sind die besten Tipps
Dass Rauchen der Gesundheit schadet, ist kein Geheimnis. In einigen Fällen endet das Rauchen sogar tödlich. Dennoch rauchen in Deutschland ...
Dass Rauchen der Gesundheit schadet, ist kein Geheimnis. In einigen Fällen endet das Rauchen sogar tödlich. Dennoch rauchen in Deutschland ...
Bild: ©YK/Adobe Stock Eine Krankenversicherung ist in Deutschland Pflicht. Deshalb begegnet man immer wieder der Auffassung, dass man sich ohne ...
Nach einem anstrengenden Arbeitstag schmerzt nicht selten der Rücken, die Schuhe drücken und es stellen sich Kopfschmerzen ein. Nicht nur ...
Von einen Haarausfall wird dann gesprochen, wenn mehr als 100 Haare am Tag ausfallen. Die Ursachen hierfür sind ganz verschieden. ...
Beim hochintensiven fokussierten Ultraschall handelt es sich um ein Therapieverfahren, das zur Behandlung von Tumoren und anderen Gewebeveränderungen eingesetzt wird. ...
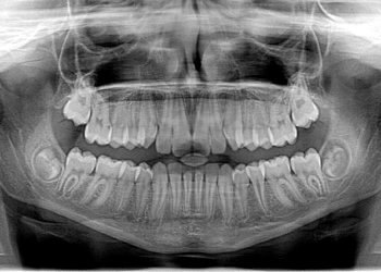
Zahnkorrekturen gewinnen in der heutigen Zeit immer mehr an Bedeutung. Einerseits weiss man, dass schiefe Zähne viele gesundheitliche Probleme verursachen ...
Bei Inkontinenz denken wir viel zu häufig und zu gerne an ältere Menschen, die Probleme haben, ihren Urin zu halten ...
Das CBD-Öl hat sich zu einem wahren Trend auf dem Markt entwickelt. War das Cannabidiol des Hanfs früher noch verpönt, ...
Für den Körper und die Psyche ist ein erholsamer und gesunder Schlaf elementar. Erst recht nach einem besonders stressigen Tag, ...
Jeder Mensch sollte nicht nach seinem Aussehen, sondern nach seinen inneren Werten bewertet werden. In der Praxis ist das aber ...
© Gesundheits-Fakten.de